Digital Smile Design in Woodbury, MN

See Your Future Smile With Digital Smile Design

Digital Smile Design lets you preview your transformed smile before treatment begins. This advanced technology helps you make confident decisions about your dental care while ensuring predictable, beautiful results.

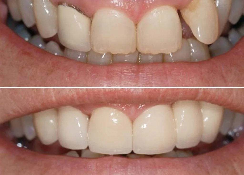
Patient Stories

Real Transformations, Real Lives Changed

Real results from real patients speak louder than promises. These transformations show how the right care can truly change lives.

Be our Next Success Story!

Just like these patients, you could be our next success story.

Ellipse
girl-smiling-image

Preview your smile

What Is Digital Smile Design?

Digital Smile Design is an innovative technology that allows you to preview your future smile before any dental treatment begins. Using advanced software and digital photography, this system creates a virtual representation of how your teeth will look after cosmetic or restorative procedures.

The process captures detailed images of your face and smile, which are then digitally enhanced to show potential results from treatments like veneers, crowns, or implants. At Imagine Your Smile in Woodbury, MN, Dr. Wilhelm uses this technology to help patients visualize their transformation and make informed decisions about their dental care.

Ellipse

See Your Future Smile

Benefits of Digital Smile Design

Digital Smile Design lets you preview your new smile before any treatment begins. This advanced technology ensures you get exactly the results you want with complete confidence.

Preview Your Results Before Treatment

See exactly how your smile will look after treatment through digital imaging. No more guessing or hoping – you’ll know you’ll love your results before we even start.

Communicate Your Vision Clearly

Show us exactly what you want instead of trying to describe it. The digital preview ensures we’re both working toward the same beautiful outcome for your smile.

Feel Confident in Your Investment

Make treatment decisions with complete peace of mind knowing exactly what you’re getting. There are no surprises or disappointments when you can see your results in advance.

Customize Every Detail Perfectly

Fine-tune the shape, size, and color of your new teeth until they’re exactly right. We can adjust the digital design until you absolutely love every aspect of your future smile.

Reduce Treatment Anxiety

Eliminate the fear of the unknown by seeing your results ahead of time. You’ll feel excited and confident about your treatment instead of nervous or uncertain.

Share Your Excitement with Others

Show family and friends what your new smile will look like and get their input. Everyone can share in your excitement as you plan your smile transformation.

Make Informed Treatment Choices

Compare different treatment options side by side to see which approach gives you the best results. Make decisions based on actual visual outcomes, not just descriptions.

Ensure Perfect Color Matching

See how your new teeth will blend with your natural teeth and skin tone. The digital preview helps us achieve the most natural, flattering color for your unique features.

Plan Your Timeline with Confidence

Know exactly what to expect at each stage of treatment. The digital design helps you understand the process and plan your schedule around achieving your dream smile.

Get Results That Exceed Expectations

Because we can perfect your design digitally first, your actual results often look even better than you imagined. The precision planning leads to truly exceptional outcomes.

Is This Right For You?

Who Is Digital Smile Design For?

Digital Smile Design is ideal for patients considering major smile transformations who want to see their results before treatment begins. This technology helps you make confident decisions about veneers, implants, or comprehensive smile makeovers.

Patients Planning Major Smile Changes

You’re considering veneers, crowns, implants, or full mouth reconstruction and want to visualize the final results first.

Those Wanting Treatment Confidence

You’re hesitant about committing to extensive dental work without knowing exactly how your new smile will look.

Perfectionists and Visual Learners

You prefer seeing detailed previews and want input on your smile design before any irreversible procedures begin.

Do any of these situations sound familiar to you?

You’re considering significant dental work but feel uncertain about committing without seeing how the final results will actually look.

See Your Future Smile Today!

Experience Digital Smile Design and preview your transformation results.

1546+

Number of Implants
Placed Last Year

4.8

Average Rating

98%

Satisfaction Rate

2700+

Number of Smiles and Lives
Changed in the Last Year

1546+

Number of Implants
Placed Last Year

4.8

Average Rating

98%

Satisfaction Rate

2700+

Number of Smiles and Lives
Changed in the Last Year

1546+

Number of Implants
Placed Last Year

4.8

Average Rating

98%

Satisfaction Rate

2700+

Number of Smiles and Lives
Changed in the Last Year

1546+

Number of Implants
Placed Last Year

4.8

Average Rating

98%

Satisfaction Rate

2700+

Number of Smiles and Lives
Changed in the Last Year

1546+

Number of Implants
Placed Last Year

4.8

Average Rating

98%

Satisfaction Rate

2700+

Number of Smiles and Lives
Changed in the Last Year

1546+

Number of Implants
Placed Last Year

4.8

Average Rating

98%

Satisfaction Rate

2700+

Number of Smiles and Lives
Changed in the Last Year

1546+

Number of Implants
Placed Last Year

4.8

Average Rating

98%

Satisfaction Rate

2700+

Number of Smiles and Lives
Changed in the Last Year

1546+

Number of Implants
Placed Last Year

4.8

Average Rating

98%

Satisfaction Rate

2700+

Number of Smiles and Lives
Changed in the Last Year

1546+

Number of Implants
Placed Last Year

4.8

Average Rating

98%

Satisfaction Rate

2700+

Number of Smiles and Lives
Changed in the Last Year

1546+

Number of Implants
Placed Last Year

4.8

Average Rating

98%

Satisfaction Rate

2700+

Number of Smiles and Lives
Changed in the Last Year

The Guide Will Show You

Get Your Guide To Cosmetic Dentistry

Fill Out the Form Below and We Will Text/Email. You The Guide Along With A $450 Savings

The Guide Will Show You

1

Digital Capture

We take high-resolution photos and videos of your face, smile, and teeth from multiple angles to create a complete digital record. This comprehensive imaging captures how you naturally smile, talk, and laugh for the most accurate design planning.

2

Virtual Transformation

We use Digital Smile Design software to digitally place new teeth over your existing ones, showing you precisely how treatments will change your appearance. You’ll see your transformed smile in motion through videos that demonstrate your new look while speaking and laughing.

3

Treatment Planning

We refine your digital smile design based on your feedback and preferences before finalizing your treatment plan. Once you’re completely satisfied with your preview, we use this detailed blueprint to guide your actual dental procedures for predictable, beautiful results.

Design Process

Your Digital Smile Preview Experience

We show you exactly how your new smile will look before any treatment begins. Here’s how we use advanced technology to design your perfect smile transformation.

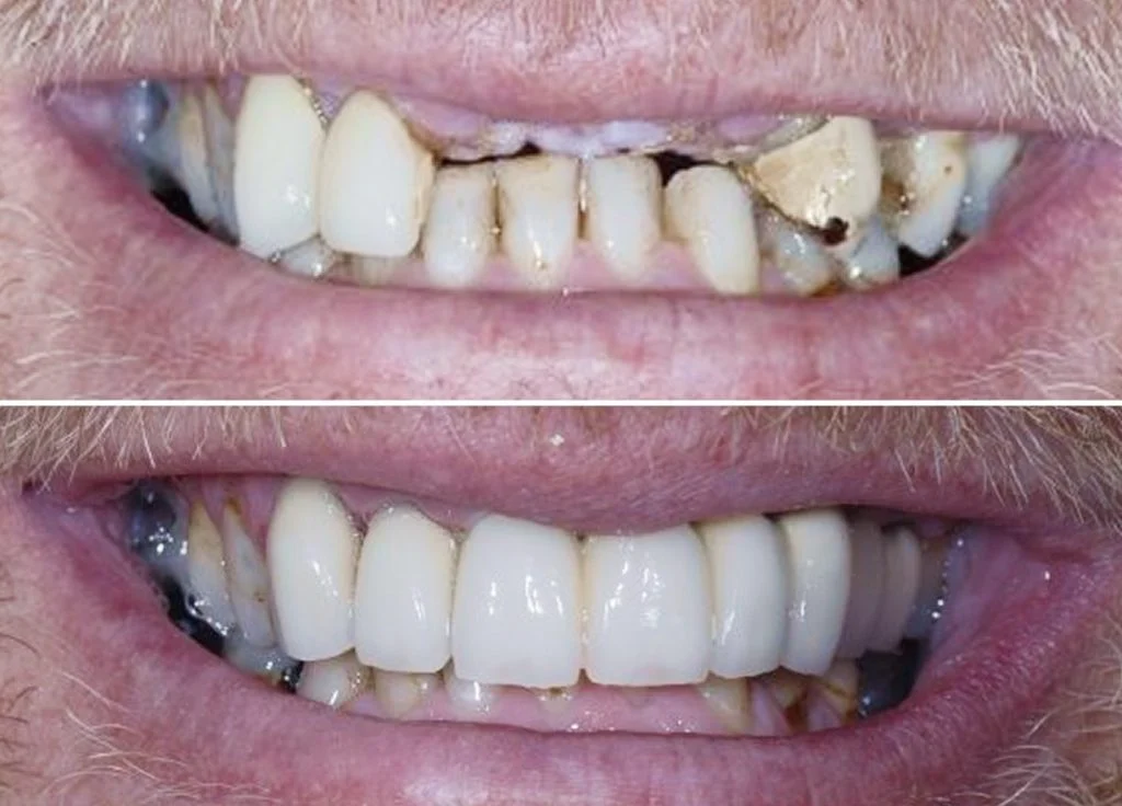
Smile Gallery

Real Smile Transformations

See the beautiful, natural results Dr. Wilhelm creates for patients in Woodbury, MN. These smile transformations showcase the life-changing impact of expert prosthodontic care.
smile-gallery-group

Ready to Transform Your Smile Like These Patients?

Don't wait to get the smile you deserve. Contact our Woodbury prosthodontist now to schedule your consultation and start your transformation.

Frequently Asked Questions

Digital Smile Design FAQs

Digital Smile Design lets you see exactly how your new smile will look before any treatment begins. Here are answers to the most common questions patients ask about this innovative technology at Imagine Your Smile.

What exactly is Digital Smile Design and how does it work?

Digital Smile Design is advanced software that captures images of your face and smile, then digitally places new teeth over your existing ones to show your transformation. At Imagine Your Smile, Dr. Wilhelm takes photos and sometimes video of you smiling, talking, and laughing, then creates a realistic preview of your results. This technology helps you visualize your new smile before committing to treatment.
The digital preview is remarkably accurate and closely represents your final results when treatment is performed as planned. At Imagine Your Smile, we use this technology specifically because it provides such realistic expectations. While minor variations can occur during actual treatment, the Digital Smile Design gives you an excellent representation of how your completed smile makeover will look and function.
Absolutely! Digital Smile Design allows us to show you multiple treatment scenarios side-by-side. At Imagine Your Smile, Dr. Wilhelm can demonstrate how veneers, crowns, implants, or combinations of treatments will affect your appearance. This helps you make informed decisions about which approach best meets your goals, budget, and timeline while seeing the visual differences between options.
The Digital Smile Design process typically takes 30-45 minutes during your consultation appointment. At Imagine Your Smile, we’ll photograph your smile from multiple angles, discuss your goals, and create your digital preview. You’ll see initial results during the same visit, though we may refine the design between appointments to ensure it perfectly matches your vision.
Digital Smile Design is included as part of our comprehensive consultation process at Imagine Your Smile. We believe seeing your potential results is essential for making confident treatment decisions. This technology helps ensure you’re completely satisfied with your planned outcome before beginning any procedures, making it a valuable investment in your treatment success and peace of mind.
Digital Smile Design is perfect for comparing treatment options visually. At Imagine Your Smile, patients often use this technology to see the difference between teeth whitening versus veneers, or single crowns versus a full smile makeover. Being able to see these options side-by-side helps you understand the benefits of each approach and choose the treatment that best achieves your goals.
We can preview virtually any cosmetic or restorative treatment, including veneers, crowns, bridges, dental implants, and complete smile makeovers. At Imagine Your Smile, Dr. Wilhelm uses Digital Smile Design for both simple treatments like whitening and complex cases like full mouth reconstruction. The technology adapts to show realistic results regardless of treatment complexity or scope.
Yes, we can provide you with images of your Digital Smile Design results to share with loved ones. Many patients at Imagine Your Smile find it helpful to discuss their potential new smile with family members before making treatment decisions. Having visual representations makes these conversations much easier and helps everyone understand the planned improvements to your smile.
For complex treatments, Digital Smile Design becomes even more valuable by showing the dramatic transformation possible. At Imagine Your Smile, patients considering full mouth dental implants or extensive reconstruction can see their complete new smile before beginning the lengthy treatment process. This technology provides confidence and motivation throughout complex procedures by keeping your end goal clearly visible.
Once you approve your digital design, it becomes the blueprint for your actual treatment. At Imagine Your Smile, Dr. Wilhelm uses your approved design to guide every aspect of your procedure, ensuring your final results match what you’ve seen and approved. The design helps our lab create restorations that perfectly match your expectations, making your dream smile a reality.

Still Have Questions?

Having trouble locating the specific information you need? Rest assured, we’re here to assist you. Feel free to get in touch and speak directly with our team.

Payment Options

Flexible Financing to Fit Your Budget

We believe financial concerns shouldn’t prevent you from getting the dental care you need. Our flexible payment plans and financing options make quality treatment accessible, allowing you to focus on your smile transformation.

Start Your Treatment Today with Flexible Payment Plans!

Preview Your Future

Ready to See Your New Smile First?

Dr. Wilhelm uses Digital Smile Design technology to show you exactly how your smile will look before any treatment begins. See your transformation in advance and customize your dream smile with confidence before making any commitment.

In 60 Seconds, Determine Your Dental Implant Eligibility.

Group

Prosthodontic Specialist

Meet Dr. Mark W. Wilhelm

Following graduation with a BS in biology from the University of Illinois, Dr. Wilhelm attended Southern Illinois University School of Dental Medicine where he received his DMD degree. He then took a year off school to work as a dental lab technician and general dentist in the Chicago area.

In 1989, he completed a 3-year hospital-based residency and acquired an MSD degree along with certificates in Maxillofacial Prosthetics, Fixed Prosthodontics and Removable Prosthodontics from Indiana University School of Dentistry. Dr. Wilhelm has three adult children who have graduated college and are living and pursuing careers on their own. When he’s not helping patients, Dr. Wilhelm enjoys traveling, fishing and mountain biking.
meet-our-doctor-dr-wilhelm

Patient Testimonials

Life-Changing Results Our Patients Love

Our patients consistently share how Dr. Wilhelm’s expertise has transformed their smiles and confidence. With hundreds of positive reviews, their stories demonstrate our commitment to exceptional care.
Imagine Your Smile was excellent to work with. I had implant work done and they use the best equipment. They were extremely accommodating to my schedule. They are understanding and great at working with you. All said and done, the work they did was outstanding.

Luke Weyers

1 year ago
I cannot say enough good things about Dr Wilhelm and his invaluable staff. The process for my implant dentures was thoroughly explained. I was treated with respect and kindness throughout this entire process and would recommend Imagine Your Smile to anyone who is considering replacement teeth. From walking in the reception area to leaving after an appointment is a cared-for experience. Thank you!!

Deborah Amidon

2 years ago
My grandmother received dental implants from Dr. Wilhelm and I cannot say enough great things about the experience. The staff was wonderful throughout the entire process and was very receptive to our needs and concerns. Overall, my family is tremendously grateful for Dr. Wilhelm’s expertise.

Carter Cox

2 years ago
I went to see Dr. Wilhelm after spending 3 years trying to get a decent set of dentures for my implants. I honestly expected to be disappointed again. I was so WRONG. Dr Wilhelm did the most amazing job! I feel like I won the lottery. I look like me again for the first time in years. I am so happy I cried. Every person in that office is so kind. For the first time in my life I look forward to going to the dentist!!!!

Steven Cloose

3 years ago
I saw Dr. Wilhelm back in 2006 for an upper denture and extraction. Throughout the process, Dr. Wilhelm checked in with me through the extraction to ensure I was comfortable and not feeling any pain. He even called me later that evening to check in and see how I was doing. His team is professional, caring and knowledgeable. I have told a lot of people about my experience with him as I was so lucky to find such a great team. I can’t thank them enough. BTW, even to this day, my denture (no implants) has fit like a glove and is in great condition. I have not needed anything to hold it in place.

Michelle Lambert

4 years ago
Dr. Mark is amazing and provides quality care to all his patients. Staff goes above and beyond to ensure you get the right treatment plan tailored to you. Would highly recommend Imagine Your Smile to anyone!

Claire Cone

2 years ago
Dr. Wilhelm has been our family dentist for more than 20 years. His staff at Imagine Your Smile could not have been more attentive providing information and reassurance while I considered implant surgery. They were detailed and professional during preparation for the procedure. The surgery went on without difficulty or discomfort. The follow-up was thoughtful, considerate, and professional. I’ve always been confident that Dr. Wilhelm and his staff provide the best dental care available. Outstanding work.

Stephen Sandell

11 years ago
I have been a patient of Dr. Wilhelm since I was kid. I feel incredibly fortunate to have had such wonderful dental care over the past 20+ years. I just had my first filling for a cavity and Dr. Wilhelm and his team did an amazing job. They are professional, thorough, and efficient. I didn’t feel a thing and the filling is absolutely beautiful and blends in with the tooth. Thanks Dr. Wilhelm!

Anna Bottila

11 years ago
At first i Went to one of them in and out of the dental clinics that are advertised on tv. it was a nightmare. my dentures didn’t fit,my bite was way off, couldn’t eat without having dentures come loose. Then I went to DR. Wilhelm at first i was a little seceptic. but in the end I been so happy with my new dentures. no sticky paste or powders to hold my dentures in. now i am back to eating steak, corn on the cob,and everything i used to eat when i had my original teeth. Dr Wilhelm is a master of his craft.

tom corb

3 years ago
Dr. Wilhelm and his staff did an amazing job on my daughter’s teeth. She had lost her 2 front teeth and needed implants and some cosmetic dental work. The entire process went smoothly and the end result is beautiful. I couldn’t be any happier I would highly recommend him for any dental work.

Nancy Riesterer

11 years ago
The first time I went to see Dr. Wilhelm was about 16 years ago – I was absolutely so impressed. He was so detailed, took the time to explain everything. Three years ago I started having issues with my teeth – my mouth was changing. I decided to try local. I could not handle it anymore, my mouth was so bothersome and I was telling my wife how I should have just gone to Dr. Wilhelm. So I did! My wife says I just shine when I smile. Talk about another great pair of dentures. I cannot thank you enough Dr. Wilhelm and your staff! Another job well done!

Adrian Franssen

9 years ago
Dr. Wilhelm operates a truly first-class dental office. I have been a patient of his for over 20 years. I have benefited from his extraordinary talent. His staff is outstanding! Dr. Wilhelm’s practice is friendly, professional, and highly competent while caring for my complete health.

Paul Johnson

10 years ago
They provide excellent dental care. I go for the general dentistry cleanings and exams. Laurie the Hygienist is easy to talk with and puts you at ease. Great education on any questions you might have about your teeth. Doc Wilhelm is very thorough. Even if you don’t have prosthodontic issues, this team is well qualified to handle your dental needs.

Adam Begley

5 years ago
I can’t say enough about my great experience with the entire staff. I had previous implants and dentures started by someone else and was very dissatisfied with the results so far. Dr. Mark and Steph were great to work with and so nice and patient with me! Dr. Mark immediately saw what the problems were before I even explained what I felt was wrong. Over the next several months, he worked with me to find the perfect placement and look. He even brought in an outside speech therapist for a consultation for me. I am completely satisfied and grateful for his time and expertise. My only regret is that I didn’t go see him in the first place!

Judy Z

9 years ago
Dr. Wilhelm and his staff are truly an outstanding team, and I highly recommend them for any procedure. I have been a patient for many years, and when I was facing major work with much apprehension, Dr. Wilhelm was kind and encouraging, helping me to overcome my fear. I was completely comfortable throughout the procedure and my results are amazing!

Pamela Norman

10 years ago
Dr. Wilhelm and his staff are Excellent! I cannot say enough good things about them. Dr. Wilhelm made me some great looking upper teeth after I had a bad experience with another dentist. I can finally smile again!

Melissa Moore

6 years ago
Their customer service was amazing. They really took the time to make me feel comfortable. He helped me after another dentist did a bad job and I will never use anyone else again!

Shane D

2 years ago
The staff at Image Your Smile are fabulous people. They are kind , polite and professional . I had a terrible experiences with a dentist as a young kid and was always anxious about going because having a sore mouth for a week was the norm back then .These people do high quality work, explain the procedure and make you feel welcome from the time that you walk in the door . I am excited about having a new smile that I can display and would recommend that if you need restorative work , that you give them a call.

James Krieger

10 years ago
Expectations exceeded. I haven’t had much luck in this field but I was treated very well here. The appointment was set up within a week! They took me in a little early. Dr. Wilhelms assistant was fabulous, she was not only nice but genuine! Budget was an important aspect of my service needs and I was given many options and found a reasonable solution. They went on to take the impressions for the next step without first making me schedule a new appointment . They showed me costs upfront and total cost, (no hidden side service, xray, taxes, etc.) I highly reccomend this establishment every step of the way.

Derrick Benner

7 years ago
I’m a person who hated dentist due to very bad teeth I made an appointment with Dr. Wilhelm he made me feel everything was going to fine and his staff are so caring and kind what more could you ask for!!

Laureen Wilmes

3 years ago

Experience What Everyone's Talking About

Discover why patients trust Dr. Wilhelm for their smile transformations and comprehensive dental care needs.

Cutting-Edge Dental Innovation

Technology at Imagine Your Smile

Modern technology transforms your comfort, precision, and treatment outcomes at every appointment.

Advanced dental technology at Imagine Your Smile ensures faster healing, improved accuracy, and comfortable procedures. Dr. Wilhelm combines Digital Smile Design software, CHROME™ guided implant surgery, cone beam CT scanning, and MLS cold laser therapy to provide minimally invasive treatments with predictable results. Our Medit500 intraoral camera and ActivePure air purification technology further enhance precision diagnosis and maintain the cleanest possible treatment environment.

Group1

Experience Advanced Care Today!

Discover how our technology makes treatment comfortable and precise.

Come Visit Us

Contact Us

Our Woodbury team is here to answer your questions and help you schedule your free consultation with Dr. Wilhelm. We make it easy to take the first step toward the healthy, beautiful smile you’ve always wanted.

Expert Tips, Healthy Smiles

Dental Blog

Dive deeper into the world of oral health! Our informative blog is packed with valuable tips, insights, and answers to your dental questions. Explore articles written by our experts to empower you to make informed decisions for a healthy, radiant smile.
Ellipse
Explore the future of dental implants with 3D printing, guided surgery, and personalized treatment for faster healing and better results….
Learn when tooth extraction before dental implants is needed, recovery timelines, and how to prepare for successful implant placement….
Compare implant supported dentures cost vs traditional dentures. Learn differences in price, comfort, durability, and long-term value…
footer

See Your Future

Ready to Preview Your Dream Smile?

See exactly how your new smile will look before any treatment begins. Discover the transformation that’s waiting for you with Digital Smile Design.
In 60 Seconds, Determine Your Dental Implant Eligibility.

Can Dental Implants Work for You?

Take This 60-Sec Quiz to See If Dental Implants 
are Right for You!

Search Our Website

Search for services, dental procedures, and expert tips from our patient resources.

Popular searches: Dental Implants, Cleanings, Insurance.

Transform Your Smile

Request an Appointment

Our dedicated team is here to provide you with personalized attention and exceptional care, tailored to meet your unique dental needs.

Discover the Best Option to Get a Beautiful White Smile

Discover your orthodontic options to see which is the best for you